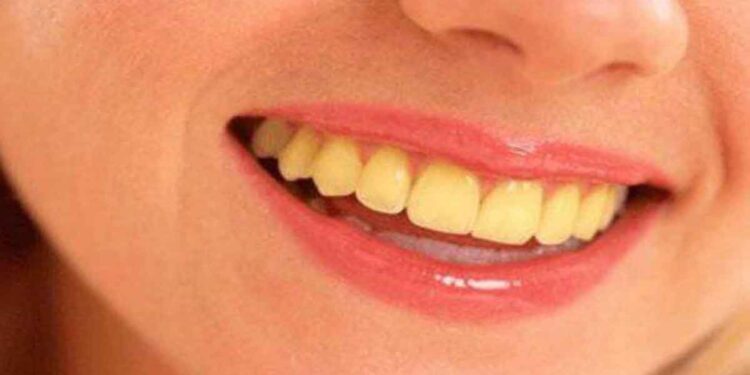
പുഞ്ചിരിക്ക് ആകര്ഷണീയത നല്കാന് മനോഹരമായ പല്ലുകള്ക്ക് സാധിക്കും. എന്നാല് പല്ലുകളിലെ മഞ്ഞ നിറമാണ് പലരുടെയും ആത്മവിശ്വാസത്തെ നശിപ്പിക്കുന്നത്. പലരും പല്ലുകളിലെ കറ കളയാന് ദന്ത ഡോക്ടറെയോ മറ്റു മരുന്നുകളെയോ ആശ്രയിക്കാറുണ്ട്. എന്നാല് പ്രകൃതിദത്തമായ ചില മാര്ഗങ്ങള് വഴി പല്ലിലെ മഞ്ഞ നിറത്തെ കളയാന് സാധിക്കും. അത്തരത്തില് പല്ലുകളുടെ മഞ്ഞ നിറം അകറ്റാന് വീട്ടില് തന്നെ ചെയ്യാവുന്ന ചില കാര്യങ്ങള് എന്തൊക്കെയാണെന്ന് നോക്കാം.
ബേക്കിംഗ് സോഡ പല്ലിലെ കറയെ ആഴത്തില് ചെന്ന് ഇല്ലാതാക്കാന് സഹായിക്കും. അതുപോലെ നാരങ്ങയ്ക്കും കറയെ നശിപ്പിക്കാന് കഴിയും. ഇതിനായി ബേക്കിംഗ് സോഡയും നാരങ്ങാ നീരും കൂട്ടി ചേര്ത്ത് പല്ലുകള് തേയ്ക്കാം. പല്ലുകളുടെ മഞ്ഞ നിറം അകറ്റാന് ആപ്പിള് സൈഡര് വിനഗര് വെള്ളത്തില് കലര്ത്തി വായ് കഴുകുക. ഉമിക്കരി കൊണ്ട് പല്ല് തേക്കുന്നതും പല്ലുകളിലെ കറ മാറാന് സഹായിക്കും. ഒരൽപ്പം ഉപ്പ് എടുത്ത് പല്ല് തേക്കുന്നതും മഞ്ഞ നിറത്തെ കളയാന് സഹായിക്കും. ഗ്രാമ്പൂ പൊടിച്ച് വെളിച്ചെണ്ണയുമായി കലർത്തി ഒരു പേസ്റ്റ് രൂപത്തിലാക്കുക. ശേഷം ഈ പേസ്റ്റ് ഉപയോഗിച്ച് പല്ല് തേക്കുന്നതും പല്ലിലെ മഞ്ഞ നിറത്തെ അകറ്റാന് സഹായിക്കും.
പ്രസ്സ്ലൈവ് ഓൺലൈൻ വാർത്തകൾ വാട്സ്ആപ് ഗ്രൂപ്പിലും ലഭ്യമാണ്. വാട്സ്ആപ് ഗ്രൂപ്പിൽ അംഗമാകാൻ ഈ ലിങ്കിൽ ക്ലിക്ക് ചെയ്യുക.










